
Mein Versprechen für Ihr Kind
Ein gesunder Mund entsteht nicht zufällig, sondern durch gute Vorsorge und frühzeitige Betreuung. Mein Ziel ist es, Ihrem Kind eine entspannte Einstellung zur Zahngesundheit zu vermitteln und durch rechtzeitige, fachgerechte Maßnahmen den Grundstein für ein Leben mit starken, eigenen Zähnen zu legen.
Ich lege besonderen Wert darauf, Kinder behutsam an zahnärztliche Untersuchungen heranzuführen und mögliche Probleme frühzeitig zu erkennen.


Kinderzahnheilkunde in Wien – Zahngesundheit von Anfang an
Mit Freude zu gesunden Kinderzähnen
Warum Milchzähne wichtig sind
Milchzähne erfüllen eine wichtige Funktion für die Entwicklung des Gebisses. Sie dienen als Platzhalter für die bleibenden Zähne und unterstützen eine gesunde Entwicklung von Kiefer, Sprache und Kaufunktion.
Ein häufiges Missverständnis lautet jedoch:
„Das sind ja nur Milchzähne – die fallen ohnehin aus.“
Gehen Milchzähne jedoch durch Karies zu früh verloren, kann dies zu erheblichen Problemen führen. Die Nachbarzähne wandern in die entstandene Lücke, sodass für den bleibenden Zahn später nicht mehr ausreichend Platz vorhanden ist. Die Folge können Zahnfehlstellungen und aufwendige kieferorthopädische Behandlungen sein.
Eine frühzeitige Betreuung durch einen Zahnarzt für Kinder hilft, genau diese Entwicklung zu vermeiden.
Wenn Karies bei Kindern zum Problem wird
Karies entwickelt sich bei Kindern häufig schneller als bei Erwachsenen, da der Zahnschmelz von Milchzähnen dünner ist. Unbehandelt kann ein kleines Loch rasch größere Folgen haben:


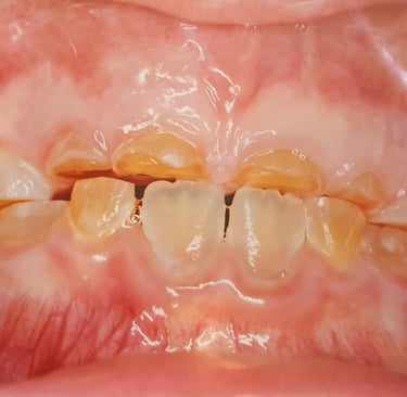
Kreidezähne (MIH) – eine häufige Herausforderung
Eine besondere Form der Zahnschmelzstörung sind sogenannte Kreidezähne (Molaren-Inzisiven-Hypomineralisation, MIH). Die betroffenen Zähne besitzen einen weicheren Zahnschmelz und sind dadurch deutlich empfindlicher und anfälliger für Karies. Durch eine frühzeitige Diagnose können gezielte Maßnahmen helfen, den Zahnschmelz zu schützen, zum Beispiel:
regelmäßige Fluoridierung
Schutzlacke
Versiegelung der Kauflächen
Entzündung des Zahnnervs
Was zunächst wie ein kleiner Defekt wirkt, kann schnell bis zur Zahnpulpa vordringen und eine schmerzhafte Entzündung verursachen.
Gefährdung des bleibenden Zahnes
Eine Entzündung an der Milchzahnwurzel kann den darunterliegenden bleibenden Zahn schädigen.
Erhalt des Milchzahnes
Um einen stark geschädigten Zahn bis zum natürlichen Zahnwechsel zu erhalten, kann in manchen Fällen eine Kinderkrone sinnvoll sein. Sie schützt den Zahn und erhält die Kaufunktion.
Mein Ansatz: Vorsorge statt Reparatur
In der Kinderzahnheilkunde steht für mich nicht die Behandlung bereits entstandener Schäden im Vordergrund, sondern die Vorbeugung.
Ich berate Sie offen und ehrlich darüber, welche Maßnahmen wirklich notwendig sind und worauf Sie besonders achten sollten.
Vorsorge für Kinderzähne
Regelmäßige Kontrolluntersuchungen ermöglichen es, Veränderungen frühzeitig zu erkennen und rechtzeitig zu reagieren. Zu den wichtigsten präventiven Maßnahmen gehören:
regelmäßige zahnärztliche Kontrolluntersuchungen
Fluoridierung zum Schutz des Zahnschmelzes
Fissurenversiegelungen an bleibenden Backenzähnen
individuelle Mundhygieneberatung für Kinder und Eltern
Diese Maßnahmen tragen dazu bei, Kariesrisiken deutlich zu reduzieren.
Individuelle Beratung
Ich erkläre Ihnen und Ihrem Kind verständlich, worauf es bei der Zahnpflege ankommt und welche Maßnahmen im Alltag sinnvoll sind.
Unterstützung für Eltern
Viele Fragen entstehen im Alltag:
Wie oft sollte mein Kind die Zähne putzen?
Wann ist Fluorid sinnvoll?
Welche Veränderungen sind normal?
Vertrauen aufbauen
Kinder sollen erleben, dass ein Zahnarztbesuch ruhig und schmerzfrei ablaufen kann. Eine positive erste Erfahrung ist der wichtigste Schutz vor späterer Zahnarztangst.
Schonende Behandlung
Wenn eine Behandlung notwendig wird, arbeite ich so minimalinvasiv wie möglich. Der Erhalt der natürlichen Zahnsubstanz steht dabei immer im Vordergrund.
Der erste Zahnarztbesuch
Der erste Zahnarztbesuch sollte idealerweise bereits im Kleinkindalter erfolgen. Dabei steht nicht die Behandlung im Vordergrund, sondern das behutsame Kennenlernen der Untersuchungssituation.
Während des Termins:
kontrolliere ich die Entwicklung der Zähne,
gebe Hinweise zur Mundhygiene und Ernährung,
beantworte Ihre Fragen zur Zahnentwicklung und
gebe dem Kind die Gelegenheit sich mit der Umgebung vertraut zu machen.
So entsteht Schritt für Schritt Vertrauen – die Grundlage für eine entspannte Beziehung zur Zahngesundheit.
Unsere Zusammenarbeit
Eine frühzeitige Betreuung durch einen Zahnarzt für Kinder kann dazu beitragen spätere Probleme zu vermeiden.
Mein Ziel ist es, Kinder und Eltern dabei zu unterstützen, eine stabile Grundlage für lebenslange Zahngesundheit zu schaffen – durch Vorsorge, verständliche Beratung und eine ruhige, kindgerechte Behandlung.
Gerne berate ich Sie persönlich zu allen Fragen rund um die Zahngesundheit Ihres Kindes.
